Vidéos 3D

Conseils pratiques pour une bonne hygiène bucco-dentaire avec un appareil

Conseils pratiques pour une bonne hygiène bucco-dentaire avec un appareil

Carriere motion classe ii

Carriere motion classe ii

Traitement orthodontique - appareil autoligaturant en céramique

Traitement orthodontique - appareil autoligaturant en céramique

Gouttières invisibles (avec taquets)

Gouttières invisibles (avec taquets)

Expansion palatine - activation du disjoncteur

Expansion palatine - activation du disjoncteur

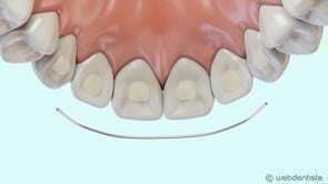
Fil de contention

Fil de contention

Orthodontie : la traction d'une canine palatine incluse

Orthodontie : la traction d'une canine palatine incluse

Les urgences orthodontiques

Les urgences orthodontiques

Traitement orthodontique esthétique par gouttières

Traitement orthodontique esthétique par gouttières

La chirurgie orthognatique – rétrognathie mandibulaire

La chirurgie orthognatique – rétrognathie mandibulaire

Le masque de delaire - chronomask

Le masque de delaire - chronomask

Le dispositif de carrière

Le dispositif de carrière

Affichage des articles 1-12 sur 13